Filling ? Dental Filling
Teeth lose their chewing function and aesthetic properties due to various reasons such as caries, cracks or fractures. In such cases, in order to restore aesthetic and functional properties; bacteria and parts that need to be removed are removed. After this process, the restoration of the teeth by filling them with materials suitable for the oral environment is called dental filling
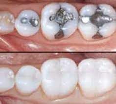
Tooth-colored fillings: Composite filling materials are materials that have a variety of color options and are close to natural tooth color. It is hardened using special light devices. It is among the frequently used filling materials
Metal-containing amalgam fillings: It contains mercury and various metals and is dark gray in color. Thanks to the developing materials, the frequency of use has decreased
The dentist decides which filling material to use by evaluating the patient’s condition, the condition of the mouth and teeth
Bonding application: It is the process of reshaping intermittent teeth, deformed teeth using tooth-colored composite filling materials, without damaging the teeth, and giving them an aesthetic and natural appearance. Its advantages are that it can be repaired, there is no damage to the tooth and it is reversible